Optical Coherence Tomography (OCT)
Optical Coherence Tomography or OCT is a high technology imaging test that allows the eye doctors at the Eyecare Medical Group to produce high-resolution cross-sectional views of the structures of your eye without ever touching it. In some ways, this is analogous to CT Scans that are used to “image’ organ systems in other parts of your body. The OCT test consists of multiple scans, and each scan takes about 45-60 seconds, the total test time is between 5-10 minutes.

Since it is a non-contact, non-invasive testing method, it is not uncomfortable or difficult for patients. We perform Optical Coherence Tomography and its interpretation right in the comfort and convenience of our office at Eyecare Medical Group in Portland, Maine.
Optical Coherence Tomography (OCT) is particularly useful for studying Diabetic Retinopathy, Macular Edema, Macular Holes, Macular Pucker or Epi-Retinal Membranes, Macular Degeneration, Posterior Vitreous Detachment, Central Serous Retinopathy, Disorders of the Optic Nerve and even Glaucoma.
Fluorescein Angiography

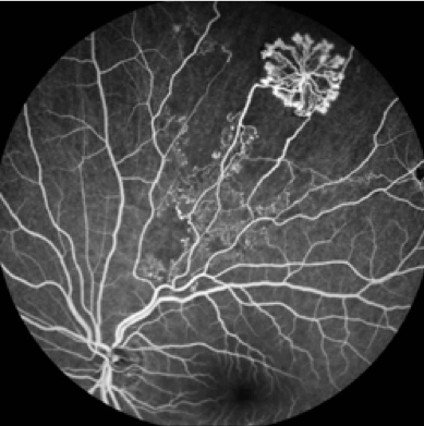
A Fluorescein Angiogram (FA) or Intravenous Fluorescein Angiogram is a diagnostic test that is used to study the retinal blood vessels and circulation of blood in the retina. Fluorescein Angiography is a valuable test that provides valuable information about many eye diseases including Diabetic Retinopathy, Macular Degeneration, Retinal Vascular Disease such as Retinal Artery Occlusion and Retinal Vein Occlusion as well as other types of Macular Disease.
Prior to beginning the study, your pupils will be dilated. The Fluorescein Angiography study is performed by injecting a sodium-based dye, called Sodium Fluorescein, into an arm vein. During the injection, there can be a warm feeling or a hot flush. This only lasts seconds and then disappears. The dye appears in the retinal blood vessels within about 10-15 seconds. As the dye travels through the retinal blood vessels, an ophthalmic photographer or technician takes a series of photographs of the Retina with a special high-speed retinal camera. Capturing the photographs takes about 6-10 minutes.
If there are any abnormalities, the dye will usually reveal them by leaking, staining or by its inability to get through blocked blood vessels. Eyecare Medical Group doctors will look for any abnormalities by identifying areas that exhibit hypofluorescence (darkness) or hyperfluorescence (brightness). These are descriptive terms that refer to the relative brightness of fluorescence in comparison with a normal retinal angiography study. Although statistically very rare, mild to severe adverse reactions to the intravenous dye have been reported. Our staff will review the potential risks and complications of Fluorescein Angiography with you and answer all of your questions prior to your study.



